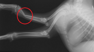
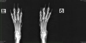
犬の骨折 の中でも 重症 レントゲン検査をして骨折を診断! 骨折の有無を確認するためには、骨の状態を確認できるレントゲンの検査が必要です。 レントゲン写真1枚あたり2,000~5,000円 ほどかかる病院が多いですが、骨折の状態によっては1枚だけで診断することができず、複数枚必要に当院を受診されるウサギの年齢は、犬同様に高齢化の傾向が認められます。 今回は高齢ウサギの前足の骨折がテーマです。 ライオンラビットのランちゃん(雌、9歳3か月、体重15kg)は前足を骨折したとのことで来院されました。 明らかに右前肢をかばっているため、レントゲンを撮りましたこれは、レントゲン写真を見ていただけたらわかるとおもいます。 この折れている指の骨を 「中手骨」 と言います。 6か月齢、体重4kgくらいのMIX犬のわんちゃんで、遊んでいるときに高い所から落ちてしまい、左前肢が跛行しているとのことで来院されました。
中足骨骨折 松戸市 市川市 かんじ動物病院
犬 骨折 レントゲン費用
犬 骨折 レントゲン費用- ピンニングとは、骨の中心に金属のピンを入れて固定する手術です。 金属のピンは、レントゲンで骨の中心に棒状に白く映ります。 手術から2週間後です。 骨が細くなってきました。 手術から2ヶ月後です。 2本ある骨のうちの1本は消えて無くなっています。 ピンニングで手術した骨は癒合しましたが骨密度の低下が見られます。 その10日後に、同じ場所 犬の捻挫の診断には レントゲンが有効 なことが多いです。 下のレントゲン写真をご覧いただくと、右側が正常で、左側は捻挫をしています。 左側は、膝の側副靭帯が切れているため、骨の隙間が広くなっています。



小型犬の橈尺骨骨折 野毛坂どうぶつ病院
1犬の骨折の症状 11骨折が疑われる犬の様子や症状 2犬の骨折の種類 21外傷性骨折 22病的骨折 3犬の骨折が原因で起こる合併症 31感染 32皮膚・筋肉・血管の損傷 33脂肪塞栓 34外傷性皮下気腫 4犬の骨折:家での応急処置方法Lcpプレートで骨折手術を行った症例のレントゲン写真 橈尺骨の遠位端で骨折しており、通常のプレートやピンの整復では強度の不安があります。また、犬の性格が落ち着きない子なので、この症例にはこの手術は最適でした。 ②チタン製プレート(ソフィアテック製) 生体材料と接触性骨形成 動物病院でレントゲンを撮ったところ、やっぱり右前足が骨折していました。 残念なことに、その動物病院では設備がないので手術ができないようで、設備の整った動物病院を紹介してもらいました。 現在、ポン吉は1回目の手術を終え入院中です。 今回は、実体験に基づいた犬の骨折の手
犬が骨折した場合はギプスか手術かどちらが良いのでしょうか? 右前足の外側の骨が骨折しています。複雑骨折でらなくポキっと真っ二つに折れていました。 病院はプレートの手術を勧めています が、ギプスも可能だそうです。 日曜でそこの病院しかやっ症例4:中型犬のプレートによる橈尺骨骨折整復 MIX犬 6ヶ月 手術前 手術後 手術後 症例5:ALPS(Advanced Locking Plate System) イタリアングレーハウンド 1歳 去勢オス 術前レントゲン 右橈尺骨に骨折が認められます。 術中写真 橈骨の骨折をALPS(Advanced Locking Plate System)による内固定で整復しました歯周病がひどくなることで小型犬では頬の部分が腫れて穴があいたり(写真2)、顎が折れたり(写真3,4)することがあります。 写真1 重度歯周病 写真3 歯周病による下顎骨折 写真2 歯の根尖周囲病巣からの外歯瘻 写真4
橈尺骨とは、前腕部の骨(橈骨と尺骨)のことで、小型犬や超小型犬では骨折が起こりやすい部分です。 経過および検査 ご紹介するのは生後6ヵ月の雑種のワンちゃんです。 1メートルほどの高さから落ち、以降左前足を挙げているとのことで来院しました。 レントゲン検査では、橈尺骨骨橈骨の骨折を、小型犬にも用いることができるLCPS(Locking Compression Plate System)による内固定で整復しました。 術後レントゲン 術後3ヶ月レントゲン 症例17 ボーダーコリー 5ヶ月齢 オス 術前レントゲン 左前肢の橈尺骨骨折が認められます。 術中写真 橈骨の骨折をLCP (Locking Compression Plate)を レントゲンを見るとやはり手首の上の骨2本(とう骨 尺骨)が折れていた。 この場合は難点が2つ ①手首に近いため固定が困難 ②骨が若いため若木骨折(若い木の枝を折ったときのように骨折面がささくれている)しており、固定が困難 ③月齢が若いため固定後にも骨が成長し、その結



中足骨骨折 松戸市 市川市 かんじ動物病院



あいの動物病院治療成績2
レントゲン画像により骨折の有無だけでなく、箇所や程度などを把握できます。 検査2:ct撮影 ct撮影ではレントゲン検査で見つける事の出来なかった、骨が重なり見えにくい位置にある骨折も確認できます。 犬の骨折、対策するには? 2週間後に、ギブスを外してレントゲンを 撮って、状態確認~再固定の流れに なるそうです。 また麻酔を使った治療になるので 心配ですがまだまだ長い犬生の為ですね。 骨折には気を付け犬の胸腺腫 画像左:心臓頭側の大きな腫瘤 画像中:胸骨正中切開にて一括摘出(×13cm大) 画像右:術後のレントゲン画像 ページの先頭へ ウサギの脛骨骨折 生後3カ月齢、体重12kgのウサギの脛骨骨折。髄内ピンと創外固定にて整復し、無事に骨癒合しまし



犬猫のスネの骨の骨折 調布市 府中市 三鷹市 武蔵野市 稲城市 動物病院 削除用



症例紹介 踵骨骨折 かかとの骨折 鈴木犬猫病院 千葉県千葉市稲毛区の動物病院です 治療例
股関節脱臼② 腹側方向脱臼を大腿骨頭・寛骨臼固定法にて整復した一例 正面からみたレントゲン写真です。 右股関節が腹側へ脱臼しています。 ピンを用いて大腿骨頭・寛骨臼固定を行います。 横からみたレントゲン写真です。 右股関節が腹側へ脱臼しています。 ピンを用いて大腿骨頭・寛骨臼固定



大型犬の撓尺骨粉砕骨折 アイ動物医療センターグループ



犬が骨折しているかどうかを見分ける方法 4つの症状 オアシス便り 垂水オアシス動物病院



犬の中手骨の骨折について あおえ動物病院



成長板骨折 インフォメーション 茨木市の動物病院 はるかペットクリニック



犬の手術実例 骨盤骨折



橈尺骨骨折整復術 八戸市で犬 猫の骨折は やすだ動物病院へ



症例ブログ 小牧市堀の内の動物病院なら 小牧獣医科病院



症例紹介 超小型犬の中手骨骨折 外科手術での整復とギプス固定での治療 さくら動物病院



犬 前肢骨折 橈尺骨骨折 骨折整復 髄内ピン法 犬 前肢骨折 橈尺骨骨折 川崎 動物病院 たかはし犬猫病院



ワンちゃんの骨折治療 埼玉の動物病院 埼玉動物医療センター



犬の上腕骨顆上骨折 Konomi動物病院 症例 広島市



動物病院診療日記犬の橈骨骨折手術



手術 症例紹介 どうぶつ園通りの動物病院



3



小型犬の橈尺骨骨折 立川市 昭島市 日野市 動物病院 トリミング 送迎



猫の骨折治療2 診療科目 国立市 ふく動物病院 ふく動物病院 国立市 府中市 国分寺市 立川市 整形外科 腫瘍科



三重県のアニー動物病院 整形外科疾患



中手骨の骨折 犬の病気は箕面市 豊中市の千里どうぶつ病院



1



トイプードルの橈尺骨骨折 その2 愛知県で犬の診療が土日祝日も可能な動物病院はもねペットクリニック



犬の骨折 犬の疾患 ペット保険の Ps保険 少額短期保険ペットメディカルサポート株式会社



骨折 霧島市 森の樹動物病院 皮膚科 アレルギー科 ペットホテル トリミング



わんちゃんの足の骨折 エースくん 鹿児島市鴨池の動物病院 中央愛犬病院



骨の治り方 橈尺骨骨折を例に 犬 柏市のくわはら動物病院 桑原動物病院 柏市



トイプードルの橈尺骨骨折 愛知県で犬の診療が土日祝日も可能な動物病院はもねペットクリニック



整形外科診療 まさき動物病院



犬の前肢開放複雑骨折 アップル動物病院



名古屋 名古屋動物医療センター 骨折



モンテジア骨折 ユーミーどうぶつ病院 佐倉市 臼井 ユーカリが丘の動物病院



整形外科 犬猫専門動物病院



整形外科 症例紹介 診療案内 三重動物医療センター なるかわ動物病院



手首よりちょっと上での骨折 イヌ



1



骨折治療 城東みなみ動物病院



骨折治療 城東みなみ動物病院



目黒動物医療センター 目黒動物病院 整形外科



整形外科 横須賀市のつだ動物病院



手術 症例紹介 どうぶつ園通りの動物病院



整形外科 横須賀市のつだ動物病院



犬 前肢骨折 橈尺骨骨折 骨折整復 髄内ピン法 犬 前肢骨折 橈尺骨骨折 川崎 動物病院 たかはし犬猫病院



犬の橈尺骨骨折



目黒動物医療センター 目黒動物病院 整形外科



動物先端医療センター Adam



骨折 指の骨 厚別中央通どうぶつ病院



広島県呉市 石崎動物病院 若齢犬の骨折



整形外科について 長野県小諸市のさくら動物病院 ご紹介



犬の骨折 あじさい動物病院



整形外科 犬猫専門動物病院



トイプードルの前足骨折 こすもす動物診療所 明石市の動物病院



犬の手術実例 前腕骨 橈尺骨 骨折



犬の橈尺骨骨折の手術 整形外科 やまと動物病院やまと動物病院



症例紹介 てらかど動物病院 愛知県名古屋市の動物病院



症例報告 橈尺骨骨折 手の骨折 シリウス犬猫病院



骨折 指の骨 厚別中央通どうぶつ病院



小型犬の橈尺骨骨折 野毛坂どうぶつ病院



トイ プードルの腕の骨折 柏市の犬 猫 小鳥の病院 なつめ動物病院



レントゲン写真犬成長板はまだ開いている若い脛骨骨折を表示します の写真素材 画像素材 Image



症例紹介 小型犬の全中手骨骨折 ギプス固定による治療 さくら動物病院



チャオ動物病院 江坂



犬の橈尺骨骨折 動物別症例集 動物病院うみとそら 杉並区 中野区 土日対応の動物病院



デグーの骨折 後ろ足 動物別症例集 動物病院うみとそら 杉並区 中野区 土日対応の動物病院



犬の骨折 あじさい動物病院



骨折 平成動物病院 春日井市二子町 名古屋市北部



中手骨骨折 東岸和田動物病院



バンコク出張 藤井寺動物病院 病院日誌



一般外科症例 中野区の動物病院 江古田の森ペットクリニック 練馬区豊玉近く 日曜 祝日も診療



骨 関節の病気 埼玉の動物病院 埼玉動物医療センター



脛骨骨折 骨折 整形外科 診療科目 エルムス動物医療センター



広島県呉市 石崎動物病院



骨折に対するギプス固定 日曜 祝日診療 足利市 太田市 佐野市 館林市 邑楽郡 桐生市



1



整形外科 症例紹介 診療案内 三重動物医療センター なるかわ動物病院



中足骨骨折 松戸市 市川市 かんじ動物病院



一般外科症例 中野区の動物病院 江古田の森ペットクリニック 練馬区豊玉近く 日曜 祝日も診療



犬のレントゲン検査が身体に与える影響はどんなもの



中型犬の前腕骨折の手術 前足 腕 調布市 府中市 三鷹市 武蔵野市 稲城市 動物病院 削除用



症例紹介 北海道動物運動器病院 札幌市円山の動物病院



小型犬の橈尺骨骨折 立川市 昭島市 日野市 動物病院 トリミング 送迎



犬と猫の下顎骨折整復手術 Konomi動物病院 症例 広島市



骨折治療 大津動物クリニック



Case26 前肢 橈尺骨 骨折の犬の1例 つつじヶ丘動物病院 東京都調布市の動物総合病院 一般診療 循環器科 腫瘍科など



若齢犬の上腕骨外顆骨折 東京都町田市の二次診療動物病院 オールハート動物リファーラルセンター



日本発の最新骨折治療法



日本発の最新骨折治療法



3dギプスで治す小型犬の前足骨折 いしじま動物病院 柏市 流山市



橈尺骨骨折 前足の骨折 癒合不全症例について解説 オアシス便り 垂水オアシス動物病院



動物先端医療センター Adam



犬の骨折手術 川越市 マリー動物病院 の手術レポート



骨折の外科的固定法 犬 猫の骨折の治療はおり動物病院



山田どうぶつ病院 Blog



整形外科について 長野県小諸市のさくら動物病院 ご紹介



犬の橈尺骨骨折 Konomi動物病院 症例 広島市



橈尺骨骨折 犬



チャオ動物病院 江坂



橈尺骨骨折 Ct Mri完備のone千葉どうぶつ整形外科センター 動物病院



整形外科治療例一覧 年中無休の武蔵小金井ハル犬猫病院 救急診療対応 武蔵小金井ハル犬猫病院



整形 中手骨骨折 横浜もみじ動物病院 都筑区仲町台 犬猫 鍼灸 漢方 ペットホテル



犬の橈 尺骨骨折



犬の骨折手術 川越市 マリー動物病院 の手術レポート



骨折の癒合不全の治療 いしじま動物病院 柏市 流山市


0 件のコメント:
コメントを投稿